Blepharoplasty Before and After Pictures in Columbia, SC
Blepharoplasty is an excellent procedure for men and women who struggle with excess skin and fat around the eyes. At Plastic Surgery Consultants, board-certified plastic surgeon Richard Wassermann, MD, MPH, FACS offers eyelid surgery to patients residing in and around Columbia and Lexington, SC.
Upper and lower eyelid surgery is a delicate treatment that should be approached by a board-certified plastic surgeon with years of experience. Dr. Wassermann works closely with each patient to address their concerns and to discern the best technique for their blepharoplasty. This procedure helps patients look refreshed and revitalized by removing unwanted skin and fat that can develop due to weight gain or age. These fat deposits can hang or bulge around the eyelids, causing undesired symptoms. Blepharoplasty can help to reverse this and brighten your facial profile.
You can browse real, unedited before and after pictures of previous patients who have received a blepharoplasty at our facility. Individual results may vary.
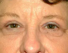
EYELID SURGERY – Patient 1
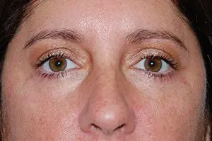
EYELID SURGERY – Patient 2
Plastic Surgery Consultants is led by board-certified plastic surgeon Dr. Richard Wassermann, where he offers blepharoplasty procedures to patients living in Columbia, Lexington, and the surrounding areas in South Carolina. To learn more about our facial surgery procedures, contact us today!







